2025年2月12日 ,大连理工大学生物工程学院林佳奇团队,在《Molecular Therapy - Nucleic Acids》上发表题为" Enhancing mRNA translation efficiency by introducing sequence optimized AU-rich elements in 3′UTR via HuR anchorage "的研究论文。

本次实验中,几种脂质纳米颗粒(LNP)的制备全程采用艾特森微流控制备仪MPE-L2完成。该设备具备流量可控、混合效率高等特点,能够实现LNP的标准化、规模化制备,有效保证了不同组别LNP产物的均一性与稳定性,为后续实验的准确性提供了设备支撑。

研究背景
mRNA技术在疫苗研发、免疫治疗等多个生物医学领域应用前景广阔,其凭借精准表达目标蛋白、研发周期短、安全性较高等优势,成为近年来的研究热点。然而,mRNA自身存在胞内稳定性低、目标蛋白表达持续时间短暂等关键技术瓶颈,严重制约了该技术的产业化落地与临床应用推进。针对这一问题,本次研究重点聚焦3'非翻译区(3'UTR)序列优化,提出通过插入富腺苷酸/尿苷酸元件(AU-rich elements, ARE)结合RNA结合蛋白HuR,提升mRNA稳定性与翻译效率的新策略。
1. 实验过程
➤ LNP制备过程:

图例1:LNP制备过程
➤ 制备LNPs工艺条件:

基于上述研究策略与艾特森微流控设备,本次实验成功制备出三种LNPs:
a)Non-ARE:不含AU rich元件;
b)ARE-F:将AU rich元件插在3’UTR前端;
c)ARE-T60:重复序列长度为60bp。
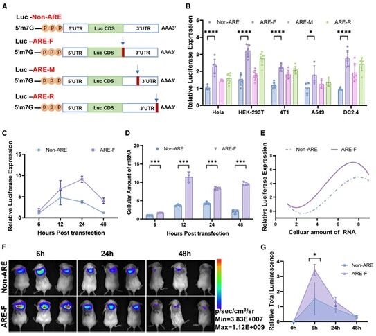
2. ARE插入3'UTR的位置筛选
研究团队设计含不同3'UTR ARE插入位点(起始ARE-F、中间ARE-M、末端ARE-R)的荧光素酶mRNA,以无ARE的Non-ARE为对照。体外转染5种细胞系后,ARE-F组的荧光素酶表达和RNA丰度均显著高于其他组,且趋势一致。时间动态检测显示,ARE-F组48小时RNA丰度为Non-ARE组的4.8倍,蛋白表达峰值延迟至24小时。体内实验中,ARE-F组在小鼠体内6、24、48小时的生物发光信号均强于Non-ARE组,延长了高蛋白表达窗口。

图例2:ARE插入3'UTR的位置筛选
3.HuR蛋白与ARE结合的必要性验证
为明确分子机制,研究团队开展HuR沉默实验和RNA下拉实验。转染siHuR后,细胞内HuR蛋白减少60%,ARE-F组荧光素酶表达和RNA丰度显著下降,Non-ARE组无变化。RN下拉实验中,仅生物素标记的ARE-F探针组检测到35kDa的HuR蛋白条带,对照组未检测到,证实HuR与ARE-F存在特异性结合,且该结合是ARE发挥作用的关键。

图例3:HuR蛋白与ARE结合的必要性验证
4.ARE序列的理性设计与优化
从天然基因库筛选13种ARE序列,仅含重复 “AUUUA” 的ARE-5、ARE-9与ARE-F能显著提升蛋白表达。对ARE-F(50nt)截短后,鉴定出9nt的最短功能序列AUUUAUUUA(ARE-V8),其增强效果与全长一致。进一步优化 “AUUUA” 重复长度发现,60nt的ARE-T60增强效果优,蛋白表达和RNA丰度均高于ARE-F。该效果在不同细胞系、体内模型中均验证成立,且不受核苷酸修饰和UTR类型限制。

图例4:ARE序列的理性设计与优化
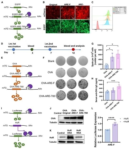
5.优化后ARE的广谱应用价值验证
构建EGFP、mCherry、OVA 的ARE-F/ARE-T60优化载体,通过激光共聚焦、流式细胞术和Western blot实验证实,优化组蛋白表达量显著高于原始序列组。小鼠免疫实验中,OVA-ARE-T60诱导的IFN-γ分泌细胞数量约为原始OVA组的2倍,OVA特异性IgG抗体水平也显著更高。共转染Hu质粒与ARE-F mRNA可进一步提升荧光素酶表达,表明增强HuR表达能放大ARE的调控效果,证实优化后的ARE可作为通用型翻译增强工具。

图例5:优化后ARE的广谱应用价值验证
知识分享:研究亮点
1 提出在mRNA的3'UTR起始位置插入富腺苷酸/尿苷酸元件(ARE)的新策略,通过锚定胞质RN结合蛋白HuR,同步提升mRNA的胞内稳定性与翻译效率。
2 明确“AUUUA”是ARE的核心功能元件,鉴定出9nt的最短有效序列(AUUUAUUUA),并优化得到60nt的最优序列(ARE-T60,其增强效果不受核苷酸修饰和UTR类型限制。
3 证实优化后的ARE序列具有广谱适用性,可显著提升荧光蛋白、抗原(如 OVA)等多种蛋白的表达,且能增强mRNA疫苗诱导的细胞免疫和体液免疫应答。
参考文献:
Molecular Therapy - Nucleic Acids ( IF 6.1 ) Pub Date : 2025-02-12 , DOI: 10.1016/j.omtn.2025.102485.